纯干货!四图读懂乳腺增生
超声表现
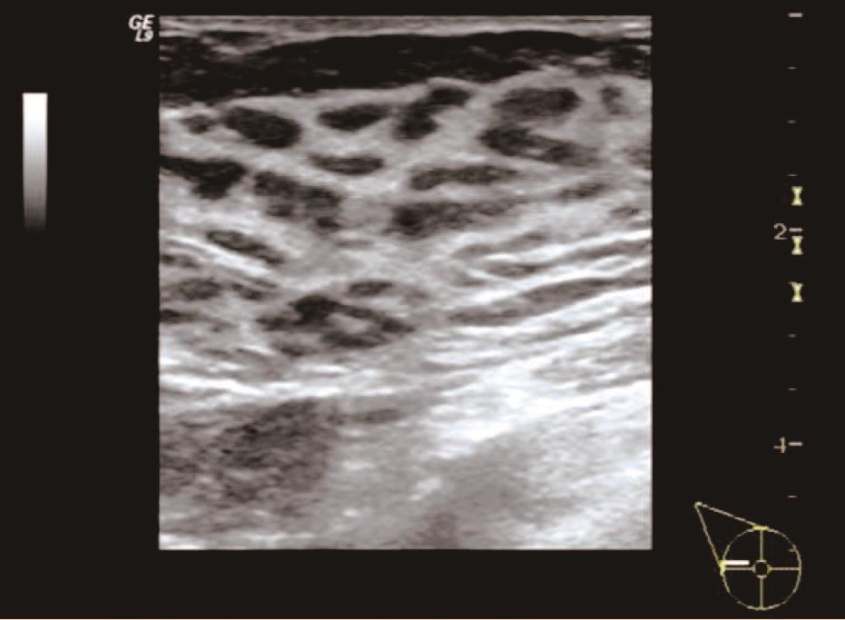
(1)单纯增生型:表现为乳腺腺体不同程度增厚,腺体内部结构稍紊乱,分布欠均匀,可见散在或弥漫分布的形态欠规则、边界欠清晰、大小不一的低回声区与稍高回声区相间,呈现“豹纹征”声像改变。可伴有钙化灶,钙化为较粗大沙砾状、杆状或小弧状,分布于乳腺局部,也可弥漫分布于整个乳腺,其内未见彩色血流信号或少许点状彩色血流信号,无明显囊肿及结节。

(2)腺瘤样增生型:多见于纤维腺病型,表现为乳腺腺体内单个或数个低回声结节,呈椭圆形或梭形,部分呈分叶状,边界尚清晰或欠清晰,无包膜回声,无伪足样向周围浸润,内部回声欠均匀,后方有轻度回声增强,内部可见较丰富的血流信号。

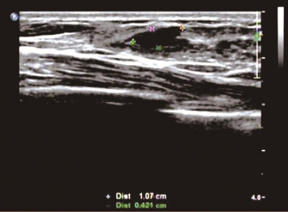
(3)囊性增生型:表现为乳腺组织回声增粗、增强,较杂乱,腺体内可见散在大小不等的圆形或椭圆形囊状无回声或长条形管状无回声区,边界清晰,壁薄光滑,透声好,内部偶见分隔回声带,也可有少许点状回声,内部无明显彩色血流信号。

(4)混合型:表现为单侧或双侧乳腺腺体内两种或两种以上表现形式不同程度并存。既有囊性, 又有实性或回声紊乱的单纯增生改变。上述几种最常见的是多发微小囊肿并存局限性回声减弱或实性低回声小肿块。

检查技巧
(1)乳腺增生患者往往有较明显的临床症状,如月经前期乳房胀痛,月经后症状缓解,诊断时结合临床表现。触诊乳房质韧、有结节感,有时有压痛,而探头在此部位可不显示明确肿块图像。
(2)超声检查发现异常回声区,应多切面观察其大小、部位、边界,有无包膜,内部回声,彩色血流信号的多少及其分布情况。频谱多普勒记录收缩期峰值血流速度、阻力指数。探查相应侧的腋窝,注意淋巴结情况。
(3)从声像图上不能鉴别时,不能轻易下乳腺增生症的诊断,应建议病理活检确诊。
鉴别诊断
(1)与乳腺癌鉴别
1)乳腺增生伴上皮瘤样增生或早期腺纤维瘤形成,可表现为边缘不规则低回声区,无边界、无包膜,但很少出现周围组织浸润、扭曲变形的征象,纵横比多小于0.77。乳腺癌肿块多呈低回声后方伴声衰减,边界不光滑,呈毛刺状或蟹足状,早期向前方侵入Cooper韧带,晚期向后方侵及胸肌筋膜,纵横比常大于0.77;
2)钙化:癌肿多伴有沙砾样钙化,后方无声影, 量较多,表现为多发散在或呈簇状分布。乳腺增生伴砂粒样钙化少见,多数为粗大点状、杆状或小弧状;
3)乳腺增生性疾病血供常不丰富,而乳腺癌大都较丰富。
(2)与乳腺纤维腺瘤鉴别
纤维瘤常为圆形或椭圆形,内部回声呈均匀或不均匀的低回声,但往往能见到较完整的包膜回声及侧壁声影,用探头加压常见到肿块与周围组织有逆向运动,而增生的肿块见不到包膜,位置固定,加压易变形。
临床要点
乳腺增生症是最常见的良性乳腺疾病,临床表现为乳房胀痛,与月经周期有关,经前加重、月经后疼痛缓解,常可触及肿块,多发生于育龄期妇女,绝经后少见,30 ~ 40岁妇女发病高峰,约占乳腺专科患者的50% ~ 70%。
乳腺增生按病理基础分为三型:①乳腺组织增生型:此型为早期轻微的病变,表现为小叶间质纤维组织增生,乳腺触诊可及局部组织片状增厚,但未扪及明显肿块。②腺病型:此型是小叶、小管、末梢导管与结缔组织均有不同程度的增生。临床表现为乳腺整体肥大,周期性胀痛症状较明显。乳腺触诊腺体厚实而有弹性,结节感较强。③囊肿病型:要是由小叶小管和末梢导管高度扩张而成。囊肿的体积可大可小,小的直径仅0.5毫米,大的直径可达数厘米。

经典病例
患者,女,35岁,因双乳疼痛两月,乳头偶有针刺状疼痛,感到胸闷,呼吸不畅来院诊治。超声检查结果显示:右乳内可见多个无回声区,边界清晰,形态规则,其中3点方向较大一个1.7*0.6cm,内可见分隔光带,左乳内可见数个无回声区,边界清晰,形态规则,其中3点方向较大一个大小1.1*0.6cm内可见分隔光带,CDFI探查:未见异常血流信号显示。双侧乳腺切面形态轮廓正常,层次清楚。腺体厚薄不均,边界完整,欠规则,结构紊乱,分布不均,呈片状高回声区。
超声提示:两侧乳腺增生。
更多精彩!请关注微信公众号“超声掌中宝”