宝宝换牙期牙齿排列是什么样子?几张图一目了然
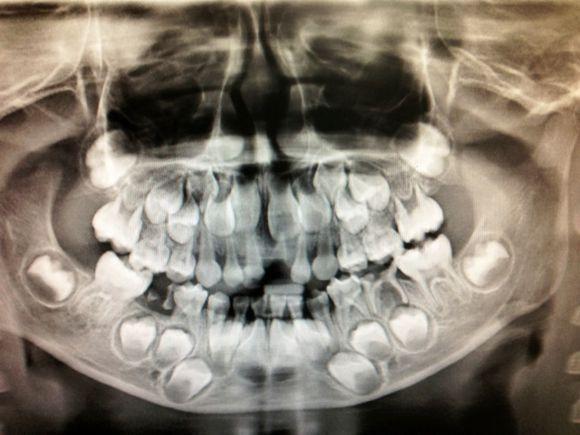
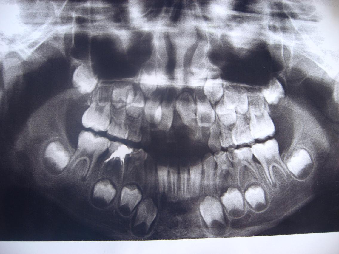
孩子在6-7岁的时候,乳牙换成恒牙,换牙后就伴随着一生,很多父母会奇怪,宝宝的牙齿是怎么生长出来的呢?其实在乳牙还未脱落时,恒牙胚就已经在慢慢发育长大,那么此时的宝宝牙齿是什么样的呢?现在发出几张换牙时的照片,这样会有更直接的了解。

可以看出还未长出的恒牙胚,正在逐渐发育,慢慢向外生长。

这是一个换牙期的颅骨,看起来确实有点让人难以接受。、

这是换牙期颅骨的侧面照,可以看出,如果宝宝乳牙未脱落,恒牙就长出,出现双层牙是多么恐怖是事情。

这个能看出乳牙还包裹着恒牙的小牙胚,经常给宝宝做牙齿检查非常重要。

不知宝宝看到这些扫描图会如何感想,一定会非常害怕看到自己的牙齿,要给宝宝养成每天刷牙、漱口的好习惯,抓好这次换牙的机会保护好牙齿。
标签:
129
名词解释:公仆 所谓公仆,即是为公众提供服务的人。人们通常把在各级党政机关工作的公务员称之为人民公仆,是为人民服务的人。但多数人对公仆的含义及服务范围一知半解,甚至...
59
山城重庆有个大电梯,长100多米,每人收费2元 山城重庆位于我国的西南部,这里有火锅、美女、美丽夜景,深受中外游客的喜爱。两路口皇冠大扶梯也是重庆的特色之一,全亚洲最长...
135
计算机网络基础:计算机网络分类 计算机网络分类 一、计算机网络分类1:通信子网和资源子网 通信子网:通信节点(集线器、交换机、路由器等)和通信链路(电话线、同轴电缆、无...
120
各大自动发卡平台网页漏洞可看卡密以及交易信息 利用自动发卡平台网页漏洞获取卡密等交易信息,大家都懂的,在线发卡是卖G等东西必备的交易平台。可以利用网页漏洞进行查看。...
169
SecretGarden:秘密花园手绘涂色绘本 密码花园《Secret Garden》是由英国知名插画家乔汉娜·贝斯福(Johanna Basford)创作,除了适合于儿童在纯净唯美的颜色和图案世界里找到快乐,还可以让成年...
69
汶上圣泽中学在济宁市教育教学工作会议上获“先进学校”表彰 10月25日,2021年全市高中教育教学工作会议在嘉祥一中洪山校区召开。 校长张士海作为获奖代表在会上作工作交流发言。...
66
换个头像吧,一家四口五口卡通全家福头像,儿女双全美满温馨 我是画师,喜欢点赞关注评论520 一家四口五口卡通真人手绘全家福,可爱呆萌,有趣有意思.. 非常奈斯 的全家福哦,很...
157
桂花环绕的火球公主,美少女战士独特的形象...
197
窦唯:王菲给房子给车子但不陪他、高高在上难以接近,不能算爱他 1999年王菲窦唯离婚,窦唯对记者说:我不知道爱的定义是什么?她给我房子,给我车子,但是人走了,这个能算爱...
139
伊朗拘捕与英国相关7人,指其与近期该国抗议活动有关 据路透社25日报道,根据伊朗官方媒体发布的一份声明,伊朗伊斯兰革命卫队25日拘捕了7名与英国有联系的人士,其中一些人拥有...
200
让人心动的神仙古风男头,爱了! 想要更多这样的推荐? 关注点赞评论转发支持我吧! 您的支持,就是我更新的最大动力~...
120
国旗在香港升起的背后,有着两国军力的角力 #翻开我的生活日记# “七一”是个特别的日子,建党,香港回归! 1997年7月1日 ,看着在国旗高高地在香港升起,每一个国人都倍感自豪!...
174
贵州库铂牛蹄关海洋科技有限公司养殖的南美白对虾通过国家食品安全标准检测 1月14日,记者从安顺经开区工贸局了解到,日前,贵州库铂牛蹄关海洋科技有限公司所养殖的南美白对虾...
127
订婚分享朋友圈的文案,每一条都充满了爱与幸福的气息 1.我们的爱情故事迎来了新篇章:订婚了!感谢命运让我们相遇,携手共度每一个明天。 2.两颗心,一枚戒指,无数个共同的明...
72
嘉实多磁护5W40机油适合什么车型? 这款型号机油适合零下30℃以上气温使用的机油。而40度级别更适合于炎热的夏天,特别是高温地区使用。 嘉实多磁护5W40机油属全合成机油,它是英...
178
干货分享!2024全国最新行政区划数据(省市县) 2024全国最新行政区划数据 全国共23个省,5个自治区,4个直辖市,2个特别行政区,共34个省级行政区划。 34个省级行政区划 因此,全国...
142
中国唯一双国籍人 双重国籍的开国上将 #战争# #开国将帅# 在新中国的所有开国将帅中,有一个人的身份非常特殊。他出生于菲律宾,拥有菲律宾和中国双重国籍(那时候的中国还没有...
146
微信不能登录网页版的解决教程 目前很多读者私信小编说:微信登不上网页版,换了好几个版本都不行,甚至浏览器都换了三个(IE、edge、Chrome),还是登录不了!提示安全问题让下载...
159
十大护肝食物(值得推荐的养肝食物大盘点) 值得推荐的养肝食物 1、梨:营养丰富,能保护肝脏,帮助消化,也可用作肝炎和肝硬化的辅助治疗。 2、大枣:富含维生素C,能给五脏补...
160
失眠怎么办睡眠小偏方 治疗失眠的小偏方有每天坚持锻炼30~60分钟运动,直到身体渐渐出现困意。或者在睡前看看书、喝一杯热牛奶,想象自己在星空之中并看一看远处的景色,也具...