看智齿千姿百态尽显妖娆,常见智齿阻生照片一组
智齿释义:
智齿是指人类口腔内牙槽骨上最里面的第三颗磨牙,从正中的门牙往里数刚好是第八颗牙齿。由于它萌出时间很晚,一般在16~25岁间萌出,此时人的生理、心理发育都接近成熟,有“智慧到来”的象征,因此被俗称为“智齿”。智齿生长方面,个体有很大差异,通常情况下应该有上下左右对称的4颗牙,有的少于4颗甚至没有,极少数人会多于4颗。萌出的年龄差异也很大,有的人20岁之前萌出,有人40、50岁才长或者终生不长,这都是正常现象。




搜集平日里拍片常见的智齿图片,看看你的牙与下面几图相似。

左侧智齿倾斜阻生,顶坏前牙

图片2.右侧智齿倾斜阻生顶坏前牙

图片3

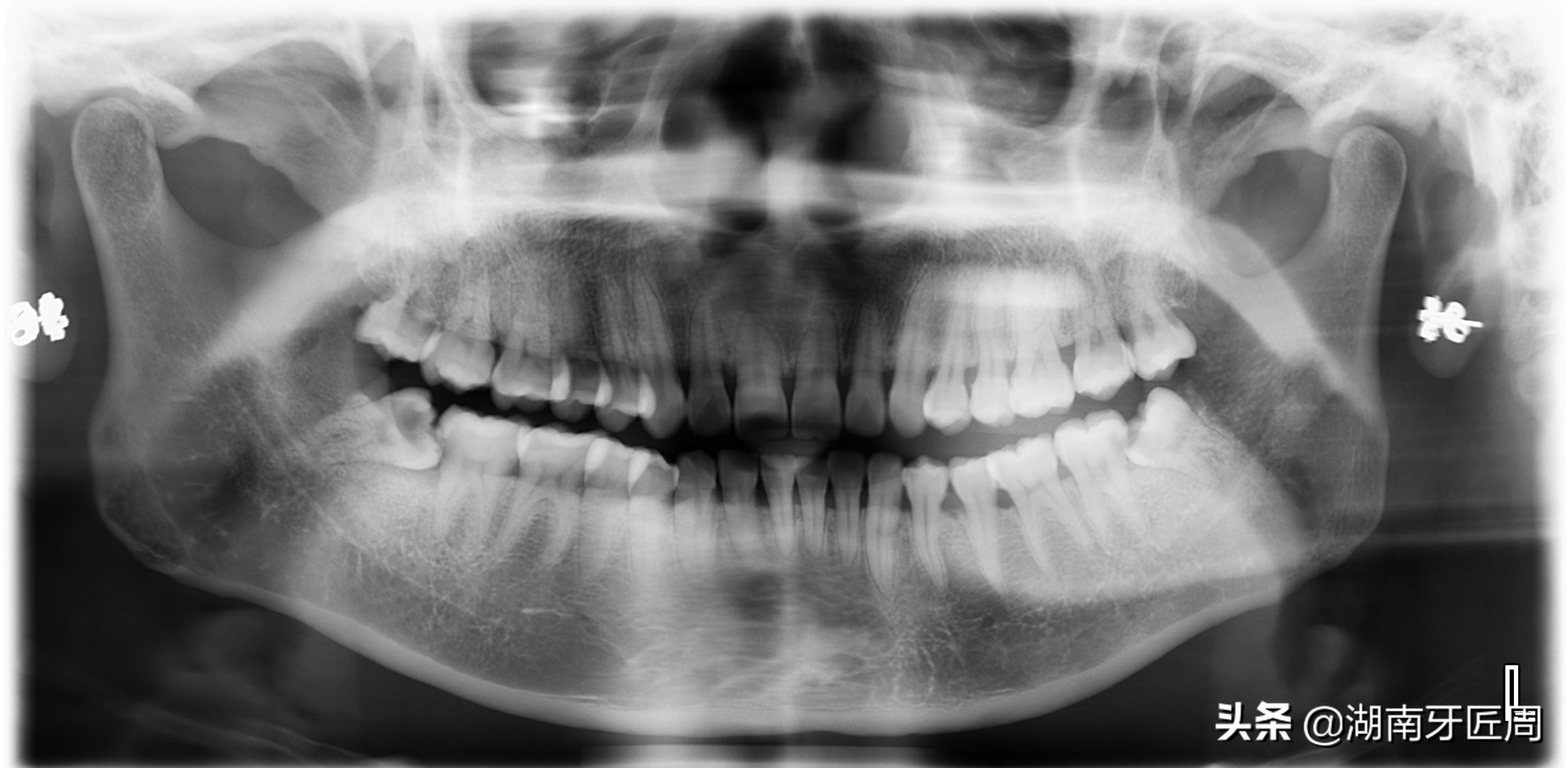
图片4.右侧智齿水平阻生,你能知道我的存在?

图片5.左侧智齿埋伏水平阻生

图片6.右侧上颌智齿接近水平阻生

图片7两侧下颌智齿阻生

图片8
在原始人类阶段,由于粗糙食物的磨耗,牙齿的高度和宽度不断减少,后面牙齿有足够的空间依次的向前移动,从而使我们的第三颗磨牙(也就是智齿)能够在16岁左右开始萌出。
但是现代随着人类食物日亦精细,牙齿的磨耗日益减少,同时由于咀嚼精细食物对颌骨的刺激降低,使得颌骨慢慢退化,逐渐缩小,这就不可避免的造成牙齿萌出空间不足,智齿的萌出时间也相应的推迟到成年之后,也就是18~30岁之间,由于一般认为这个阶段是智力发育的高峰时期,所以人们常常称这颗牙齿叫做“智齿”,也就产生了“智齿”的说法。
智齿是第三磨牙,俗称“立事牙”,是牙列中最后一颗牙。这颗牙大约在于18岁至30岁之间萌出,所以称立事牙。
下颌骨结构得不到充分的咀嚼功能锻炼,逐渐退化,牙量大于下颌骨量,这样当第三磨牙长出时就常常位置不够,以致萌出困难,这就形成了“智齿阻生”,智齿阻生是青壮年人的一种常见病。
阻生的智齿可以引起牙列不齐,冠周间隙感染,张口困难,第二磨牙龋坏,严重的还可引起颌骨骨髓炎等。
如果发现有智齿阻生,并反复引起发炎的,就应该早日拔除,以免引起其它症状或疾病,如果已形成智齿冠周炎,应给予抗生素治疗,待炎症控制后再行拔除。
下颌智齿能够正常萌出并且有正常的咬颌关系者仅仅占很少数,“智齿”萌出时由于没有足够的空间,很容易长歪,例如出现向颊侧或者舌侧倾斜、向前后倾斜等情况。
常常出现牙冠仅有部分萌出,外露于牙龈之外,另一部分被牙龈覆盖,即在牙龈与牙体之间形成一个狭窄较深的袋子形状的结构,医学上称之为“盲袋”,亦称为“龈袋”,龈袋内容易积存食物碎屑和细菌,一般刷牙、漱口又难以清洗干净;加之冠部牙龈易因咀嚼食物而引起局部损伤,容易形成溃疡。当全身抵抗力下降、细菌毒力增强时,便可引起牙冠周围组织炎症,即智齿冠周炎。
标签:
166
2.28丨主播17shou丷千人击杀惊为天人 虎牙风云榜硝烟再起! 小葫芦日报,立足于数据,为您呈现过去一天直播平台数据及主播排行榜。 注:统计的数据为虎牙、斗鱼、熊猫、战旗、火猫...
98
国内十大热门美食节目排名 打造中国味道的美食节目 近年来,美食节目如雨后春笋般涌现,成为了荧屏上备受欢迎的节目类型。在这些节目中,有些凭借其独特的魅力与创意,赢得了...
208
养鸡知识|鸡流感的发病特点及防治措施 鸡流感又被称为禽流行性感冒,是由甲型流感病毒感染而引起的一种急性传染性疾病。作为一种人畜共患病,该病不仅危害面积较广,同时其流...
135
但愿时间港口全是空巷-宋冬野《空巷曲》乐评 本人的第一篇乐评,听了很多歌 唯有这一首《空港曲》给了我最大的触动 作为一个业余音乐爱好者 听一般流行音乐或者是民谣的时候 大...
77
除了宋丹丹、蔡明、高秀敏,还有这13位小品女演员,喜欢她们吗 马丽,1982年6月28日出生于辽宁省丹东市宽甸满族自治县 ,先后毕业于中央戏剧学院表演系、北京大学林兆华戏剧研修...
205
巴瑶族没有国籍,上岸晕土,为何还能在海上屹立不倒? 晕船,晕车,晕飞机,相信大家都有听说过,但是晕陆地还真是第一次听到。在东南亚地区生活着一群人,他们长期生活在海上...
199
“于谦父亲”的下属,传说中的蒙古海军,是否真实存在呢? 众所周知,于谦的父亲有很多身份,而其中一个就是蒙古国海军司令。大部分人都认为这只是一个段子,其实,蒙古国海军...
196
有哪些最基本的汽车知识? 如果要把汽车知识都讲透,估计可以写一本百科全书。 我们理解,基本的汽车知识这个限定,应该是对于我们大部分汽车小白的,了解之后能够对汽车有一个...
192
香港光头警长刘sir膝盖碎骨已取出,曾被暴徒投掷的砖头击中 香港“光头警长”刘sir的伤不只有眼角。6月12日晚在处置暴乱时,他的膝盖被暴徒投掷的砖头击中,此后碎骨留在腿中,一...
184
贵州值得一去的六大温泉圣地 冬天如约而至,而冬季最爱的活动自然是泡温泉啦。小编整理了贵州几个有名的温泉圣地,周末带上家人或者朋友,去暖暖的温泉里泡一泡,让你的整个冬...
152
真正的聪明人,看起来都很笨 在人生这条路上,我们会遇到各种各样的人,有的人表面看起来很聪明,实则愚蠢至极,有的人则恰好相反,表面看起来憨直,实则是大智若愚。 很多人...
79
突发!天津重大惨祸:小学生遭“开门杀”、被碾压身亡,内情曝光 以上内容资料均来源于网络,本文作者无意针对,影射任何现实国家,政体,组织种族,个人。相关数据,理论考证...
155
皮卡十大品牌 皮卡知名品牌 皮卡品牌排行 皮卡,又名轿卡,顾名思义,亦轿亦卡,是一种驾驶室后方设有无车顶货箱,货箱侧板与驾驶室连为一体的轻型载货汽车,是前面像轿车,后...
195
辽宁省凌源市概况 凌源市隶属辽宁省朝阳市,北纬40°35′50″~41°26′6,东经118°50′20″~119°37′40″。位于辽宁、河北、内蒙古三省(区)交汇处,北与建平县、内蒙古宁城县毗连,...
165
第68届红白歌会名单发布:AKB48、欅坂46霸占红组,TWICE初次登场 在日本有着极高认知度的“日本春晚——NHK红白歌合战”(中文译名:红白歌会)在今日发布了预计于2017年12月31日晚播...
203
澳大利亚5000万只袋鼠泛滥,当地人呼吁吃肉,但还是消灭不了 我们一直在呼吁人与自然和谐共处,那么真的就是我们说共处就可以共处吗?人类作为世界上最为高级的生物体,是因为...
194
中国籍影视女演员范冰冰的三首好听的歌曲 晚上好,今天给大家分享一下中国籍影视女演员范冰冰的三首好听的歌曲,我们大都认为范冰冰是个影视明星。而忘了她也是一位华语流行女...
142
寂寞先生 袁世中|那些男人 出生在浪漫的法兰西,香港和美国长大,最后到上海进入四大会计师事务所之一的普华永道担任高级顾问。这是还没有三十岁的袁世中的生活。虽然没有小...
113
穆里尼奥,下课吧 穆里尼奥,很固执!像是一个有极端执念的卫道士,一个对防反足球的近乎抱有执念的卫道士! 他所固执坚持的战术打法风格对于阵容人员配置有着非常高的要求。...
165
iPhone7无服务的基带门,有你不知道的故事,一分钟看懂 其实每一代iPhone都有他的通病和缺陷,那么我们今天就来聊聊iPhone7的基带门事件。 自从iPhone7上市以来,“基带门”事件一直困...